

4.4万円~ / 本
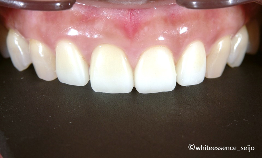
このような方にオススメの治療法です
- 欠けた歯を自然な見た目に治したい
- 変色した差し歯をきれいに治したい
- 銀歯を白い歯に替えたい
- 前歯の変色を白く改善したい
- 短期間で前歯の歯並びを改善したい



4.4万円~ / 本
このような方にオススメの治療法です








【治療内容】
セラミック治療(セラミッククラウン)
【施術の説明】
失った歯質部分をセラミックを用いて修復する方法
【副作用・リスク】
・保険外診療となり、全額自己負担となります
・切削量が他の治療に比べ多くなる場合があります
・咬合調整を怠ると、破折する場合があります
【治療費】
①ジルコニアセラミック ¥176,000-(税込)/本
②アルミナセラミック ¥143,000-(税込)/本
③ノーマルセラミック ¥110,000-(税込)/本

【治療内容】
セラミック治療(セラミッククラウン)
【施術の説明】
失った歯質部分をセラミックを用いて修復する方法
【副作用・リスク】
・保険外診療となり、全額自己負担となります
・切削量が他の治療に比べ多くなる場合があります
・咬合調整を怠ると、破折する場合があります
【治療費】
①ジルコニアセラミック ¥176,000-(税込)/本
②アルミナセラミック ¥143,000-(税込)/本
③ノーマルセラミック ¥110,000-(税込)/本

【治療内容】
セラミック治療(セラミッククラウン)
【施術の説明】
失った歯質部分をセラミックを用いて修復する方法
【副作用・リスク】
・保険外診療となり、全額自己負担となります
・切削量が他の治療に比べ多くなる場合があります
・咬合調整を怠ると、破折する場合があります
【治療費の総額】
①ジルコニアセラミック ¥176,000-(税込)/本
②アルミナセラミック ¥143,000-(税込)/本
③ノーマルセラミック ¥110,000-(税込)/本

【治療内容】
セラミック治療(セラミッククラウン)
【施術の説明】
失った歯質部分をセラミックを用いて修復する方法
【副作用・リスク】
・保険外診療となり、全額自己負担となります
・切削量が他の治療に比べ多くなる場合があります
・咬合調整を怠ると、破折する場合があります
【治療費の総額】
①ジルコニアセラミック ¥176,000-(税込)/本
②アルミナセラミック ¥143,000-(税込)/本
③ノーマルセラミック ¥110,000-(税込)/本

【治療内容】
セラミック治療(セラミッククラウン)
【施術の説明】
失った歯質部分をセラミックを用いて修復する方法
【副作用・リスク】
・保険外診療となり、全額自己負担となります
・切削量が他の治療に比べ多くなる場合があります
・咬合調整を怠ると、破折する場合があります
【治療費の総額】
①ジルコニアセラミック ¥176,000-(税込)/本
②アルミナセラミック ¥143,000-(税込)/本
③ノーマルセラミック ¥110,000-(税込)/本

【治療内容】
セラミック治療(セラミックブリッジ)
【施術の説明】
失った歯質部分をセラミックを用いて修復する方法
【副作用・リスク】
・保険外診療となり、全額自己負担となります
・切削量が他の治療に比べ多くなる場合があります
・咬合調整を怠ると、破折する場合があります
【治療費の総額】
①ジルコニアセラミック ¥176,000-(税込)/本
②アルミナセラミック ¥143,000-(税込)/本
③ノーマルセラミック ¥110,000-(税込)/本

【治療内容】
セラミック治療(セラミッククラウン)
【施術の説明】
失った歯質部分をセラミックを用いて修復する方法
【副作用・リスク】
・保険外診療となり、全額自己負担となります
・切削量が他の治療に比べ多くなる場合があります
・咬合調整を怠ると、破折する場合があります
【治療費の総額】
①ジルコニアセラミック ¥176,000-(税込)/本
②アルミナセラミック ¥143,000-(税込)/本
③ノーマルセラミック ¥110,000-(税込)/本


【治療内容】
セラミック治療(ラミネートベニア)
【施術の説明】
失った歯質部分をセラミックを用いて修復する方法
【副作用・リスク】
・保険外診療となり、全額自己負担となります
・切削量が他の治療に比べ多くなる場合があります
・咬合調整を怠ると、破折する場合があります
【治療費の総額】
ラミネートベニア ¥110,000-(税込)/本

【治療内容】
セラミック治療(ラミネートベニア)
【施術の説明】
失った歯質部分をセラミックを用いて修復する方法
【副作用・リスク】
・保険外診療となり、全額自己負担となります
・切削量が他の治療に比べ多くなる場合があります
・咬合調整を怠ると、破折する場合があります
【治療費の総額】
ラミネートベニア ¥110,000-(税込)/本

【治療内容】
セラミック治療(ラミネートベニア)
【施術の説明】
失った歯質部分をセラミックを用いて修復する方法
【副作用・リスク】
・保険外診療となり、全額自己負担となります
・切削量が他の治療に比べ多くなる場合があります
・咬合調整を怠ると、破折する場合があります
【治療費の総額】
ラミネートベニア ¥110,000-(税込)/本


【治療内容】
セラミック治療(セラミックインレー)
【施術の説明】
失った歯質部分をセラミックを用いて修復する方法
【副作用・リスク】
・保険外診療となり、全額自己負担となります
・切削量が他の治療に比べ多くなる場合があります
・咬合調整を怠ると、破折する場合があります
【治療費の総額】
セラミックインレー ¥66,000-(税込)/本

【治療内容】
セラミック治療(セラミックインレー)
【施術の説明】
失った歯質部分をセラミックを用いて修復する方法
【副作用・リスク】
・保険外診療となり、全額自己負担となります
・切削量が他の治療に比べ多くなる場合があります
・咬合調整を怠ると、破折する場合があります
【治療費の総額】
セラミックインレー ¥66,000-(税込)/本

【治療内容】
セラミック治療(セラミックインレー)
【施術の説明】
失った歯質部分をセラミックを用いて修復する方法
【副作用・リスク】
・保険外診療となり、全額自己負担となります
・切削量が他の治療に比べ多くなる場合があります
・咬合調整を怠ると、破折する場合があります
【治療費の総額】
セラミックインレー ¥66,000-(税込)/本










当院では、みなさまのお悩みや疑問・不安などにお応えするため、カウンセリングはすべて無料でご対応させて頂いております。
無理な勧誘等は一切ございません。治療に必要な料金の見積りもすべて無料で発行致します。
詳しくは下記からご覧ください。